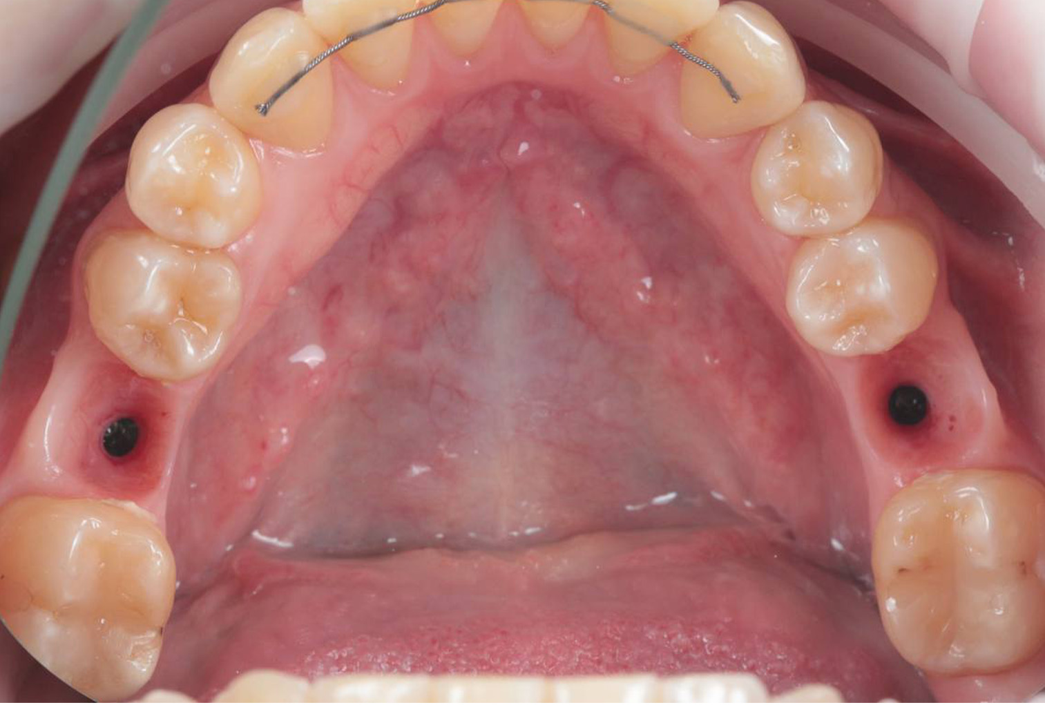
Пациент обратился с жалобами на отсутствие 36 и 46 зуба, что значительно затрудняло прием пищи. Также наблюдалась выраженная атрофия мягких тканей и тонкая кость в данной области.
Была успешно проведена имплантация зубов, без необходимости в костной пластике После установки имплантатов было выполнено протезирование коронками из диоксида циркония, которые были изготовлены в собственной цифровой зуботехнической лаборатории “ Протетика”.