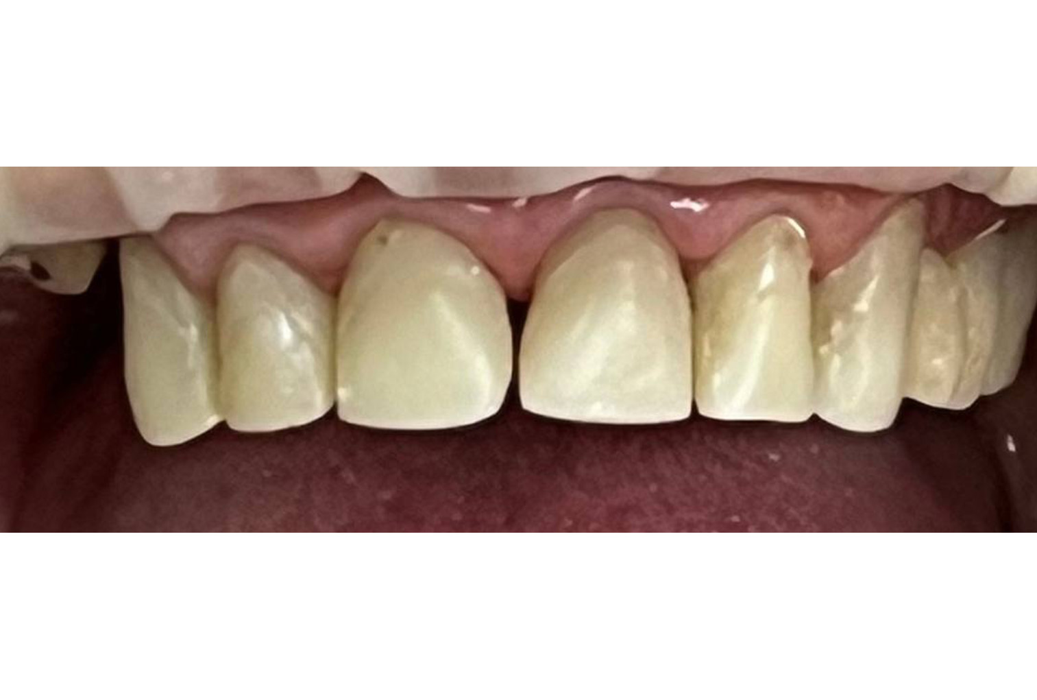
В ходе консультации врачом-хирургом-ортопедом было решено установить импланты в области отсутствующих зубов, также была проведена пластика мягких тканей для увеличения объема десен, что улучшило общую эстетику. После этого осуществили протезирование безметалловыми коронками и винирами на все зубы.
После завершения лечения, пациент остался доволен результатом,вернули жевательную функцию, а установка виниров значительно улучшило внешний вид пациента, вернув уверенность в себе и комфорт при общении.